18 марта 2026 📍 Тренинг-Центр «ЭХО», ул. Свердлова, 82 Новороссийск 🏷️ Практический курс 📥 iCal

Восстановление жевательных зубов. Искусство реставрации.

Для врачей-стоматологов Практический курс 18 марта 2026 💰 20 000 ₽

Курс по работе использования послойной методики и методики объемного пломбирования (bulk-fill).

Формат: теория + практика на оборудованных рабочих местах
Цель: освоить эстетический протокол работы с композитными материалами
Оборудование: каждому участнику предоставляется полностью оснащённое рабочее место. Все этапы выполняются в учебном центре


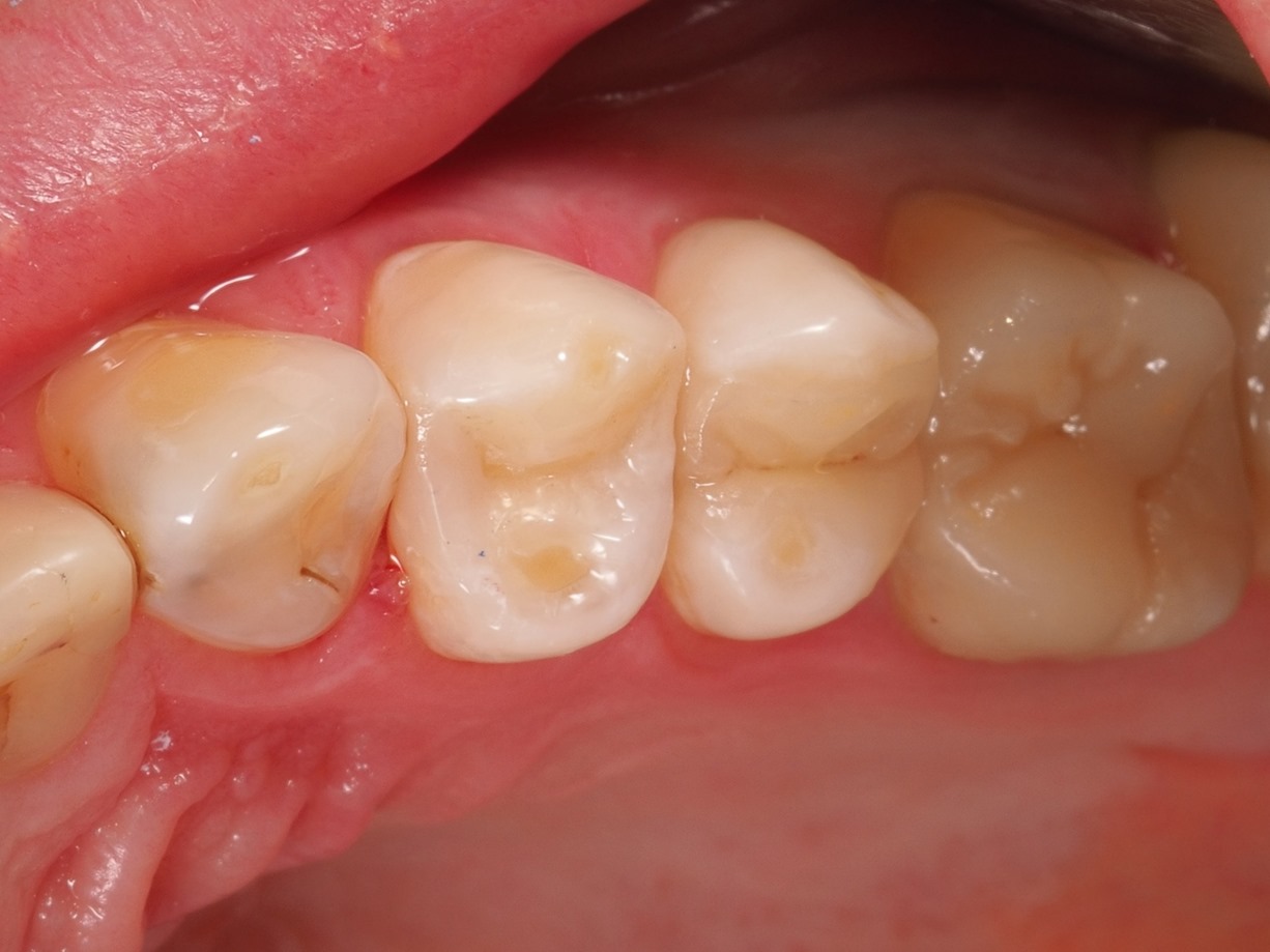
Краткое описание

Участники выполняют реставрацию16 и 17 зубов с использованием послойной методики и методики объемного пломбирования (bulk-fill).


Как это поможет на практике

  • улучшит эстетический результат прямых реставраций
  • сократит рабочее время с пациентом

Теоретическая часть

  • Показания и степень выживаемости прямых реставраций.
  • Подготовка рабочего поля, современные девайсы.
  • Принципы адгезии. Классические и само протравливающие адгезивы.
  • Свойства композитов и техники прямых реставраций.
  • Техника полимеризации и современные аспекты.
  • Требования к восстановлению анатомической формы зубов. Методика формирования зуба.
  • Морфология поверхности зубов, ее воспроизведение при реставрации.
  • Алгоритм послойного восстановления. Формирование контактного пункта, приемы, методы.
  • Штифты, показания к применению.
  • Виды штифтов, классификация, характеристики.
  • Протокол фиксации штифта, как эффективно применять.
  • Презентации клинических случаев и их обсуждение.

Практическая часть

Восстановление 16 и 17 зубов с использованием послойной методики и методики объемного пломбирования (bulk-fill).

Участники самостоятельно реализуют техники достижения эстетического результата.

Преподаватель

Спичков Руслан Ильич

Лектор Врач-стоматолог
Врач-стоматолог, ассистент кафедры ортопедической стоматологии ФГБОУ ВО Казанский ГМУ МЗ РФ, г. Казань Специализация: композитные и стеклокерамические реставрации Доктор специализируется на восстановлении зубного ряда при частичном и полном отсутствии зубов. Среди профессиональных навыков: протезирование зубов (съемное и несъемное); установка виниров; микропротезирование зубов; протезирование с использованием керамики, металлокерамики; установка вкладок, штифтов.