21 марта 2026 📍 Тренинг-Центр «ЭХО», ул. Свердлова, 82 Новороссийск 🏷️ Демонстрационный мастер-класс 📥 iCal

Металло-композит, техника напрессовывания в работах All-on-Х.

Для зубных техников Демонстрационный мастер-класс 21 марта 2026 💰 20 000 ₽

Демонстрационный мастер-класс по работе с металло-композитом на работах All-on-Х

Формат: демострационный мастер-класс
Цель: освоить протокол изготовления несъемных конструкций ALL-on-X.


Краткое описание

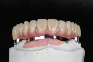
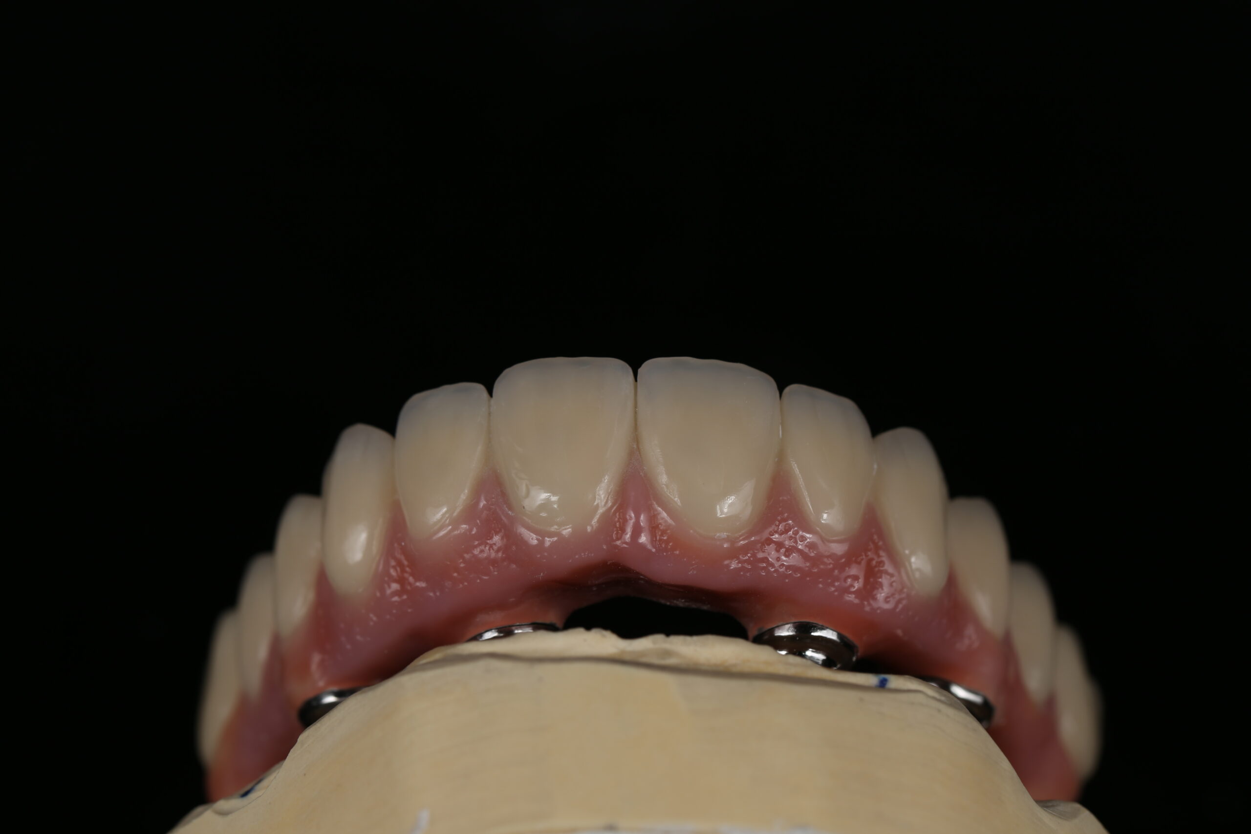
  • Живая демонстрация нанесения металло-композита на каркас из 12 единиц на работе All-on-Х. Индивидуальное нанесение с эффектами и с применением десневых масс.
  • Возможность применения композита в различных типах протезов (FP1/FP2/FP3).
  • Преимущества перед металло-акрилом.
  • Просто, быстро, точно и ремонтопригодно: это про металло-композит.
  • Эстетика и индивидуализация каждому случаю.
  • Применение данной техники нанесения уже проверено временем на протезах пациентов, которые используются ими уже в течение 5 лет.

Как это поможет на практике

  • Изучите полный протокол выполнения работы ALL-on-X.
  • Рассмотрите несколько вариантов изготовления временной конструкции.
  • Изучите все этапы изготовления конструкции ALL-on-X в ExoCad.
  • Научитесь наносить композит всего за 1 час даже с учетом эстетики.

Теоретическая часть

  • Точный оттиск — залог успеха для точной и качественной работы (гипсовый оттиск, силиконовый оттиск, трансфер чек).
  •  Варианты изготовления временной конструкции за несколько дней.
  •  Критерии отдавливания слизистой.
  •  Основные варианты выбора материала при изготовлении постоянных работ ALL-on-X.
  •  Этапы изготовления работы в ExoCad.
  •  Каркас металло-композита.
  •  Все о композите.
  •  Как эстетично за 1 час нанести композит на каркас 12 ед?!!!
  •  Композитные материалы, подходящие для облицовки.
  •  Каркас, только металл или есть альтернатива?
  •  Индивидуализация композита быстро, на высоком уровне эстетики, такое возможно?
  •  Индивидуализация десны.
  •  Полировка или глазурь?

Демонстрация

  • Нанесение металло-композита на подготовленный металлический каркас, включая все слои: бонд, опак, дентин, эмаль, эффекты эмали.
  • Нанесение десневых масс.
  • Демонстрация 2 альтернативных вариантов финишной обработки: полировка композита и нанесение глазури с поверхностной индивидуализацией красителями.

Преподаватель

Веревкин Александр Александрович

Преподватель Стоматолог-ортопед зубной техник
Стоматолог-ортопед, зубной техник Работает по специальности с 2007 года.